Aide aux frais vétérinaires pour Jack
Aide aux frais vétérinaires pour Jack
Aide aux frais vétérinaires pour les soins de Jack.
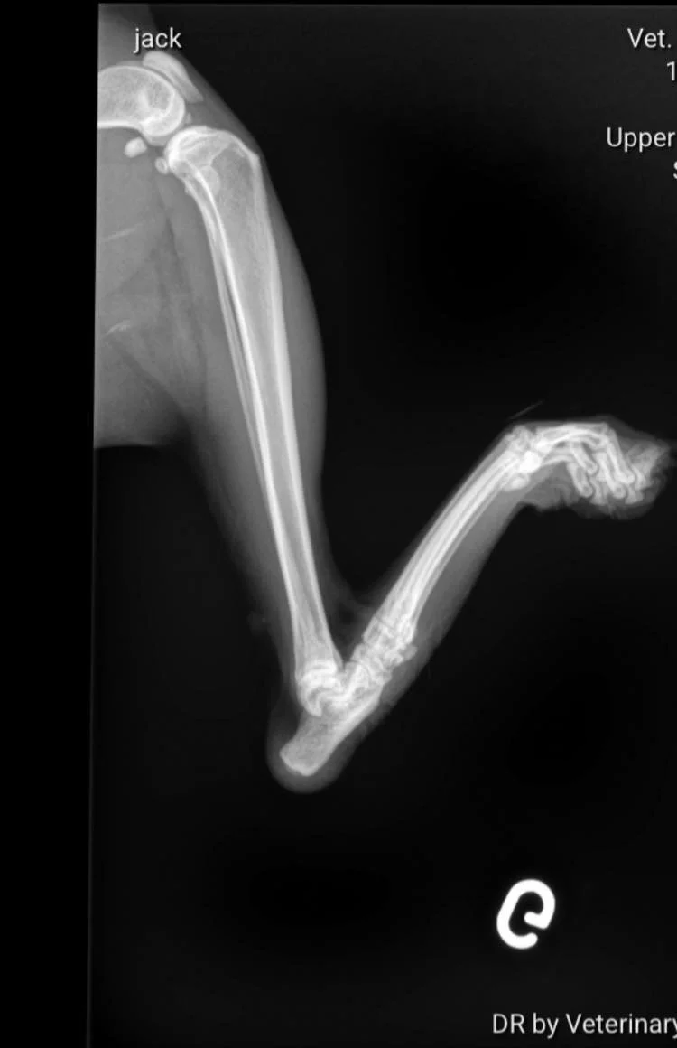
Jack a été déposé devant le refuge dans sa cage de transport. Il a subit un accident avec un tracteur et ses tendons ont été sectionnés.
Jack a du rester en quarantaine depuis son arrivée.
Ses gros problèmes ortho et digestifs lui et nous donne du fil à retordre. Nous peinons à trouver ce qui cause ce dérèglement digestif si important et avons peiné à soigner ses blessures de frottement au jarret.
Après avoir tenté toutes sortes de traitements (attèles, bandages et soins divers) pour la cicatrisation de sa blessure de frottement et pour essayer de le re muscler. Impossible de continuer sans passer par l’opération.
Il s’est fait opérer pour recoudre la blessure de frottement qui ne parvenait pas à cicatriser complètement malgré les soins réalisés par nos bénévoles et vétérinaires et ce, tous les 4jours depuis de longues semaines.
Une arthrodèse a été réalisée sur une de ses pattes afin de bloquer l articulation et empêcher le frottement constant avec le sol.
Nous espérons que sa qualité de vie pourra être meilleure par la suite.
Cette opération nous a coûtée 1.500€ pour une seule patte, s’ajoutent à cela les soins et radios qui ont déjà été réalisées auparavant. Nous sommes à plus de 2.500€ de frais vétérinaires pour lui à ce jour.
Nous avons besoin de votre aide.
Les soins que Jack a reçu :
analyses de selles, analyses de sang, radios, consultations, médicaments et compléments alimentaires, suivi post opératoire, traitement des blessures de frottement et bandages.
La nourriture dont il a besoin :
- Nourriture gastrointestinale croquettes = 45 € par sac de 3kg
- Nourriture gastrointestinale pâtées = 20 € par pack de 12 boites
Si vous souhaitez participer au traitement de Jack, vous pouvez le faire via ce moyen ci ou via le compte bancaire du refuge directement en y inscrivant en communication : soins Jack.*
⚠️pour recevoir l’attestation fiscale de votre don pour Jack, il est important de nous transférer votre numéro national⚠️
Merci pour votre soutien. Nous pouvons les aider grâce à vous,






